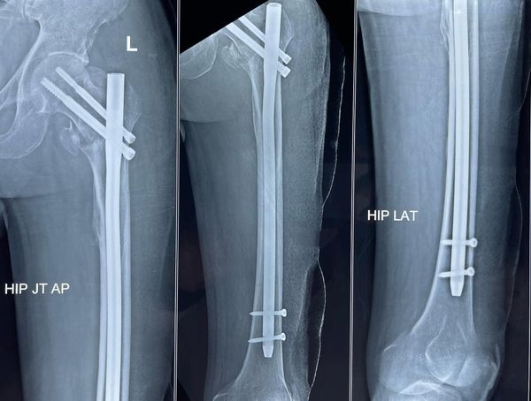
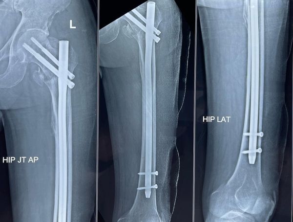
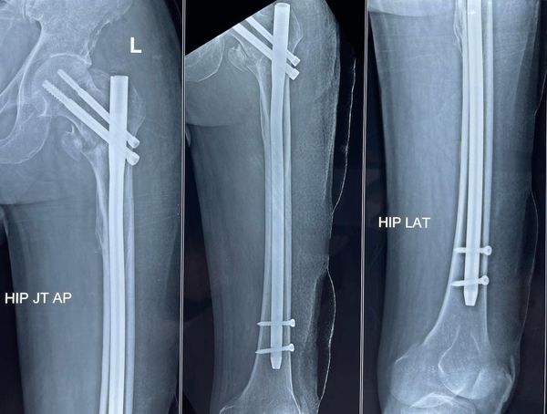
Intertrochanteric fractures of the femur that extend down into femoral shafts are sometimes tricky to handle, especially if the patient is 78 years old with multiple medical comorbidities. Such fractures should always be fixed however to give them a better chance in life, these long cephalomedullary nails (longfin) are best in such scenarios, these implants should also be used in most unstable intertrochanteric femur fractures in severe osteoporosis for a chance of better fixation.
