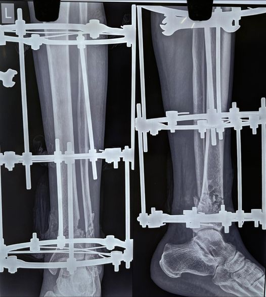
An openfracture is an injury where bones jut out of the limb through a wound, these are often results of high energy road traffic accidents, most surgeons prefer to treat these via multiple surgeries. treating of such fractures in one go is often tricky, as parts of bone and soft tissue and skin goes missing at the site of trauma. In such cases the ilizarov ring fixation system is the magic that helps. This system was developed in russia in the 1950s in the heights of cold war era. I guess this will always be a prime example of “necessity is the mother of invention”
