Long live all-knowing Bengali dadas. No matter how good or bad you do your surgery the final verdict on your x-rays will always be given by parar dada.
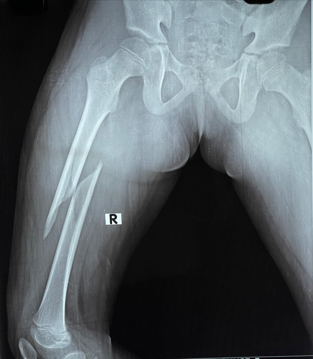
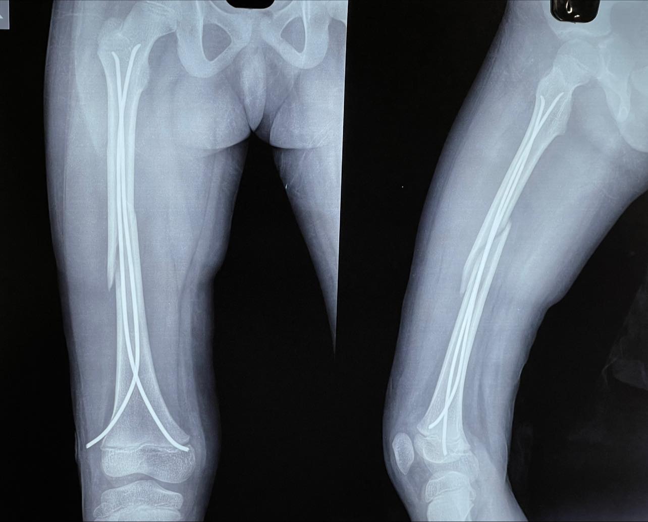
case in point: 6 yr old male with shaft of femur fracture treated with minimally invasive titanium elastic nails, in such cases, absolute picture perfect reduction is neither necessary nor often is possible, however, it would be hard for a surgeon to explain all this to the esteemed parar dada.
For all intents and purposes this will have a normal union and should leave no deformity or lasting future issues.
