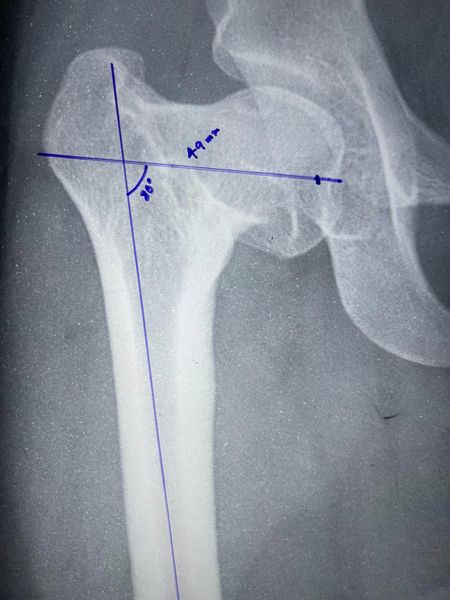
A 19-year-old female with congenital both-side coxa vara (hip deformity) along with scoliosis of the spine and stunted growth, who developed neck of femur fracture of the left side and kept walking with it somehow with support due to sheer negligence of family until now.
Such cases are extremely rare even by our usual standards, deformity can be corrected and should be corrected at a much earlier age, add a fracture to it, and things become very unpredictable.
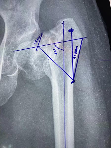
This one was corrected with Pauwel’s osteotomy and pediatric DHS fixation. Cancellous bone grafting was also done to the neck trochanter junction.
Interesting fact: We usually do pre-operative planning and measurements in such cases, the neck length when measured came to 49mm and 50 mm is the shortest screw I could find after calls to all companies who supply such screws in and around Kolkata. Very close call no? 
